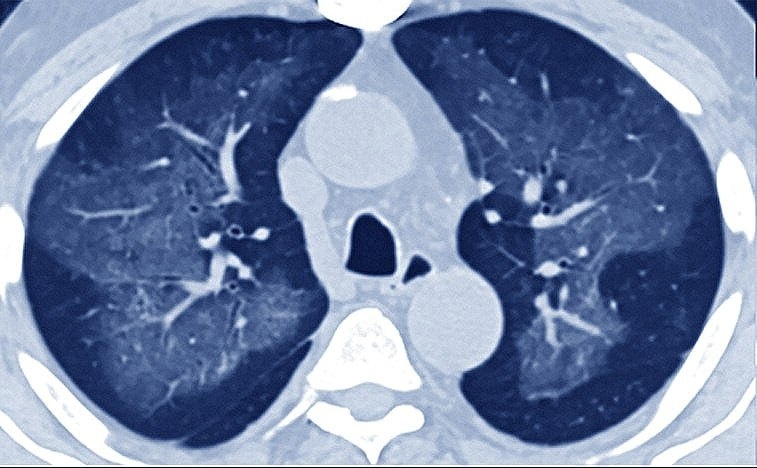
Покажите эту новость курильщику вейпов![]() Что-то на жизненном. Нижегородский Областной диагностический центр показал, как выглядят на КТ лёгкие любителя электронных сигарет и вейпов.
Характерная картина острого повреждения лёгких, до боли знакомый ковидный эффект «матового стекла», как правило, многоочаговый. Дальше это может привести к нарушению просвета бронхов. Бывают и другие клинические маски последствий вредной привычки. Встречаются такие последствия и в 27, и в 40, и в 50 лет. С таким идём прямиком к пульмонологу, если не хотите разучиться дышать. Пар на 95% безопаснее дыма от сигарет, говорите? Источник: Твой Бор
Комментарии
0 комментариев
Авторизуйтесь чтобы можно было оставлять комментарии
Смотрите также Перед судом предстанет 38‑летний житель села Городищи, обвиняемый в убийстве своей сожительницы. Об этом сообщает Следственный комитет Нижегородской области. А это значит, что все долго ждавшие весны питбайкеры вылезут именно на дороги общего пользования. Дворы и поля ещё непригодны для покатушек. Да, вроде бы недавно широко отмечали 800-летие, а уже пролетело 5 лет. Вы их заметили? По предварительной информации Борского отдела ГИБДД, 49-летняя женщина за рулём автомобиля Volkswagen Polo не справилась с управлением, выехала на встречную полосу и столкнулась с отбойником. После благоустройства в парке остались незадействованными торговые точки, в том числе помещение под амфитеатром. В связи с этим 13 апреля в Бору пройдёт электронный аукцион на право размещения нестационарных торговых объектов в парке культуры и отдыха «Семейный».
Загрузить ещё
|
|





